
I was born in 1991 in the Qazakh province of Azerbaijan. In 1996, we moved and settled in Kütahya, Turkey. I completed my primary and secondary education in Kütahya. In 2009, I graduated from Kütahya Teacher High School and in the same year, I began my university education at Gazi University Faculty of Dentistry. While receiving both theoretical and practical training at university, I participated in many congresses and seminars.
After working in various clinics following graduation, I established my own practice in 2017. In 2018, I received one year of training in the Department of Periodontology at Hacettepe University. During this time, I received training on gum diseases.
Areas of interest
Toothache
Dental Caries
Tooth Loss
Gum Bleeding
Teeth Grinding
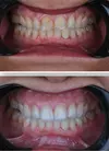
Crowding of the Teeth
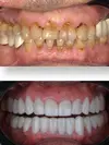
Diseases of the Teeth and Gums
Periimplantitis
Peri-Implant Mucositis
Insufficiencies in the Development of the Jaw and Facial Area
Jaw Cysts
Zirconium applications
Implant treatment
Porcelain applications
Laminate veneer
Specializations
Dentist