
I graduated with honors from Ege University Faculty of Dentistry in 2009. I received my orthodontics specialty in 2015. I have published articles both domestically and internationally. I am actively providing services at my private clinic in Izmir.
Areas of Interest
Toothache
Dental Caries
Tooth Loss
Gum Bleeding
Teeth Grinding
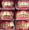
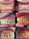
Dental Crowding
Dental and Gum Diseases
Peri-implantitis
Peri-Implant Mucositis
Tooth, Jaw, and Facial Developmental Deficiencies
Jaw Cysts
Zirconium Applications
Implant Treatment
Porcelain Applications
Laminate Veneer
Areas of Expertise
Dentist