
Dr. Mustafa Kızılırmak Dentist
Areas of interest
Toothache
Dental caries
Tooth deficiency
Gum bleeding
Teeth grinding
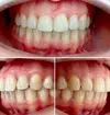
Dental crowding
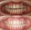
Dental and gum diseases
Periimplantitis
Peri-implant mucositis
Developmental deficiencies of the tooth, jaw, and facial region
Jaw cysts
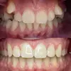
Zirconium applications
Implant treatment
Porcelain applications
Laminate veneer
Areas of expertise
Dentist