
Graduated from Ankara University Faculty of Dentistry in 1992. Since 1993, has been accepting patients in their own clinic.
Areas of interest
Toothache
Dental caries
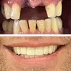
Tooth deficiency
Gum bleeding
Teeth grinding
Tooth misalignment
Dental and gum diseases
Periimplantitis
Peri-implant mucositis
Insufficient development of the tooth, jaw, and facial regions
Jaw cysts
Zirconium applications
Implant treatment
Porcelain applications
Laminate veneer
Areas of expertise
Dentist