
I was born in 1993 in Kocaeli. I completed my primary and secondary education in Kocaeli. In 2018, I graduated from Istanbul Medipol University Faculty of Dentistry. In 2019, I started my doctoral education in the Department of Periodontology at Gazi University Faculty of Dentistry. Since 2022, I have been continuing my work at Private Enda Dental Oral and Dental Health Clinic, of which I am a founding partner.
Areas of interest
Tooth Pain
Tooth Decay
Tooth Deficiency
Gum Bleeding
Teeth Grinding
Tooth Crowding
Tooth and Gum Diseases
Periimplantitis
Peri-Implant Mucositis
Jaw and Facial Development Deficiencies
Jaw Cysts
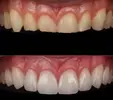
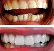
Zirconium Applications
Implant Treatment
Porcelain Applications
Laminate Veneer
Areas of expertise
Dentist