
I am Oğuz YILDIZ. I graduated from Ege University in 2007.
I provide services at my private clinic on FSM Boulevard, mainly focusing on Smile Design (zirconia and emax porcelain dental prostheses and implant-supported prostheses).
We perform composite laminate (an aesthetic bonding application performed without damaging or cutting the teeth) and botox applications.
Fields of Interest
Toothache
Tooth Decay
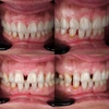
Missing Teeth
Gum Bleeding
Teeth Grinding
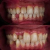
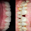
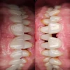
Crooked Teeth
Tooth and Gum Diseases
Periimplantitis
Peri-Implant Mucositis
Jaw and Facial Region Developmental Deficiencies
Jaw Cysts
Zirconium Applications
Implant Treatment
Porcelain Applications
Laminate Veneer
Areas of Expertise
Dentist