
Dt. Semih Tekin provides services in the field of dentistry specialization.
Areas of interest
Toothache
Tooth Decay
Tooth Loss
Gum Bleeding
Teeth Grinding
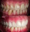
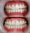
Tooth Crowding
Dental and Gum Diseases
Periimplantitis
Peri-Implant Mucositis
Insufficient Development of Jaw and Facial Region
Jaw Cysts
Zirconium Applications
Implant Treatment
Porcelain Applications
Laminate Veneer
Areas of specialization
Dentist