
Dr. Müge Mivcan provides healthcare services to her patients at the Private Yalı Oral and Dental Health Polyclinic.
Areas of interest
Toothache
Dental Caries
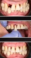
Tooth Loss
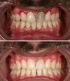
Gum Bleeding
Teeth Grinding
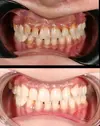
Dental Crowding
Tooth and Gum Diseases
Periimplantitis
Peri-Implant Mucositis
Deficiencies in the Development of the Tooth, Jaw, and Facial Area
Jaw Cysts
Zirconium Applications
Implant Treatment
Porcelain Applications
Laminate Veneer
Areas of expertise
Dentist