
Dr. Buse Simay Ertan Dentist
Areas of interest
Toothache
Tooth Decay
Tooth Deficiency
Gum Bleeding
Teeth Grinding
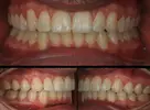
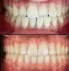
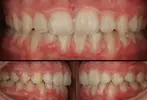
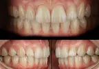
Crooked Teeth
Dental and Gum Diseases
Peri-implantitis
Peri-Implant Mucositis
Jaw and Facial Underdevelopment
Jaw Cysts
Zirconium Applications
Implant Treatment
Porcelain Applications
Laminate Veneer
Specialization areas
Dentist