Adwhit Logo
Download the app
To receive all the latest offers
/
Professions and Services
/
The best dentists in Turkey
/
Treatment of exposed tooth nerve
Dt. Onur Yücel

Treatment of exposed tooth nerve

Onur YÜCEL completed his primary education at Private Çakabey High School and his secondary and high school education at Konal Anatolian High School, then graduated from Ege University Faculty of Dentistry in 2007. He has increased his professional competence by attending various courses in the fields of implantology and orthodontics.
Onur Yücel, who has been married for 13 years, is the father of two daughters. Both his mother and father are dentists as well.

Areas of Interest

  • Toothache

  • Tooth Decay

  • Missing Teeth

  • Gum Bleeding

  • Teeth Grinding

  • Dental Crowding

  • Dental and Gum Diseases

  • Peri-implantitis

  • Peri-implant Mucositis

  • Deficiencies in the Development of Jaw and Facial Regions

  • Jaw Cysts

  • Zirconium Applications

  • Implant Treatment

  • Porcelain Applications

  • Laminate Veneer

Areas of Expertise

  • Dentist

Rating: 0 / 5
0 Evaluation Process
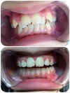
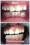
Pictures
Full Name
Dt. Onur Yücel

age
42 Years

Experience
5 - 10 سنة

Address
İzmir / Çiğli / Ataşehir mah.
Home
Account
Add Classified