
Dr. Ömer Riyadoğlu Dentist
Areas of interest
Toothache
Dental caries
Missing teeth
Gum bleeding
Teeth grinding
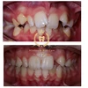
Dental crowding
Tooth and gum diseases
Periimplantitis
Peri-Implant Mucositis
Developmental deficiencies of the teeth, jaw, and facial region
Jaw cysts
Zirconium applications
Implant treatment
Porcelain applications
Laminate veneer
Specialties
Dentist