Adwhit Logo
Download the app
To receive all the latest offers
Specialist Dentist Halil Toros Bingöl

Treatment of dry mouth

He studied at Atatürk University Faculty of Dentistry between 2006 and 2011. Between 2011 and 2014, he served at his clinic and at a dental hospital in Eskişehir. In 2014, he achieved a national ranking by placing 7th in the Dental Specialization Exam in Turkey. He completed his 4-year orthodontic specialization at Ege University Faculty of Dentistry successfully. He has developed himself for many years regarding modern approaches and current treatments in orthodontics. He has made a name for himself with his treatments using clear aligners in the field of orthodontic treatment.

Areas of interest

  • Toothache

  • Tooth Decay

  • Tooth Loss

  • Gum Bleeding

  • Teeth Grinding

  • Crowded Teeth

  • Tooth and Gum Diseases

  • Periimplantitis

  • Peri-Implant Mucositis

  • Deficiencies in Tooth, Jaw, and Facial Development

  • Jaw Cysts

  • Zirconium Applications

  • Implant Treatment

  • Porcelain Applications

  • Laminate Veneer

Specialty areas

  • Dentist

Rating: 0 / 5
0 Evaluation Process
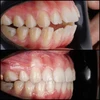
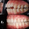
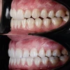
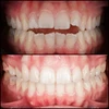
Pictures
Full Name
Specialist Dentist Halil Toros Bingöl

age
37 Years

Experience
5 - 10 Years

Address
İzmir / Bayraklı / Mansuroğlu mah.
Home
Account
Add Classified