
Dr. Esra Uyguner Göksel, Dentist
Areas of Interest
Toothache
Tooth Decay
Tooth Loss
Gum Bleeding
Teeth Grinding
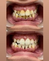
Tooth Crowding
Dental and Gum Diseases
Peri-implantitis
Peri-implant Mucositis
Deficiencies in the Development of the Jaw and Facial Area
Jaw Cysts
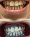
Zirconium Applications
Implant Treatment
Porcelain Applications
Laminate veneer
Areas of Expertise
Dentist