
After graduating from the Ankara University Faculty of Dentistry, I completed my Doctorate and Research Assistantship in the Department of Pedodontics at Ankara University Faculty of Dentistry. I have worked as a Pedodontist at Ereğli State and SSK Hospital Dental Clinics, Ereğli ADSM Pedodontics Clinic, and the Ankara Memorial Hospital Oral and Dental Health Department. I am currently working at Feyzan Süzen Pediatric Dentistry Clinic.
Areas of interest
Toothache
Dental Caries
Tooth Loss
Gum Bleeding
Teeth Grinding
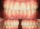
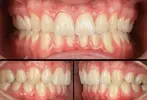
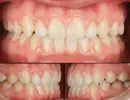
Dental Crowding
Teeth and Gum Diseases
Periimplantitis
Peri-Implant Mucositis
Insufficient Development of Teeth, Jaw, and Facial Regions
Jaw Cysts
Zirconium Applications
Implant Treatment
Porcelain Applications
Laminate Veneer
Fields of expertise
Dentist