
Adnan Köse, born in Bursa in 1988, completed his high school education at Bursa Malcılar High School. He graduated from Istanbul University (Çapa) Faculty of Dentistry, which he entered in 2006, with a master's degree in 2011.
In 2011, he began his PhD in the Department of Prosthetic Dentistry, Division of Crown Bridge Prosthesis at the same faculty, and completed it in 2018, earning the title of 'Specialist in Prosthetic Dentistry (Prosthesis)'.
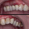
He continued his work in private dental clinics in Istanbul and Bursa, and as of July 2019, has been practicing in his own clinic, primarily focusing on aesthetic dentistry and implantology, as well as all branches of dentistry.
Areas of interest
Toothache
Dental Caries
Tooth Loss
Gum Bleeding
Teeth Grinding
Dental Crowding
Dental and Gum Diseases
Periimplantitis
Peri-Implant Mucositis
Developmental Deficiencies of Jaws and Facial Region
Jaw Cysts
Zirconium applications
Implant treatment
Porcelain applications
Laminate veneer
Fields of expertise
Dentist