
Dr. Bora Coşkun Dentist
Areas of interest
Toothache
Dental Caries
Tooth Loss
Gum Bleeding
Teeth Grinding
Tooth Crowding
Dental and Gum Diseases
Periimplantitis
Peri-Implant Mucositis
Deficiencies in Development of Tooth, Jaw and Facial Region
Jaw Cysts
Zirconium Applications
Implant Treatment
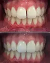
Porcelain Applications
Laminate Veneer
Specializations
Dentist