
Dr. Dt. Hüseyin Hüseyin provides services in his own clinic.
Areas of interest
Toothache
Tooth Decay
Tooth Loss
Gum Bleeding
Teeth Grinding
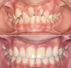
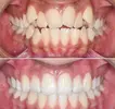
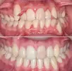
Crooked Teeth
Dental and Gum Diseases
Peri-implantitis
Peri-Implant Mucositis
Jaw and Facial Area Developmental Deficiencies
Jaw Cysts
Zirconium applications
Implant treatment
Porcelain applications
Laminate veneer
Fields of expertise
Dentist