
Born in Sakarya/Adapazarı, after finishing primary school, he moved to Eskişehir and completed his secondary education there. He then passed the entrance exam for Maltepe Military High School. He completed his undergraduate studies in Dentistry at Ankara University Faculty of Dentistry and later, after passing the Dental Specialty Exam, he graduated from Dicle University Department of Orthodontics with the title of Orthodontist by preparing a thesis titled "In Vitro Evaluation of the Bond Strengths of Two Different Fluoride-Releasing Surface Coating Materials". The institutions he has previously worked at: Bursa Oral and Dental Health Hospital, Private Viranşehir Oral and Dental Health Clinic, Private Yüksel Oral and Dental Health Clinic, and Private Çukurambar Oral and Dental Health Clinic.
Areas of Interest
Toothache
Dental Caries
Tooth Loss
Gum Bleeding
Teeth Grinding
Dental Crowding
Teeth and gum diseases
Periimplantitis
Peri-Implant Mucositis
Deficiencies in the development of the jaw, teeth, and facial region
Jaw Cysts
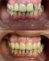
Zirconium applications
Implant treatment
Porcelain applications
Laminate veneer
Areas of Expertise
Dentist