
I graduated from Hacettepe University in 1989, and I provide services at my private practice.
Areas of interest
Toothache
Dental Caries
Tooth Loss
Gum Bleeding
Teeth Grinding
Dental Crowding
Tooth and Gum Diseases
Peri-implantitis
Peri-implant Mucositis
Deficiencies in Growth of the Jaw and Facial Area
Jaw Cysts
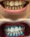
Zirconium Applications
Implant Therapy
Porcelain Applications
Laminate Veneer
Fields of expertise
Dentist