
Dt. Giyas Rumane Dentist
Areas of interest
Toothache
Dental Caries
Tooth Loss
Gum Bleeding
Teeth Grinding
Crowded Teeth
Dental and Gum Diseases
Periimplantitis
Peri-Implant Mucositis
Jaw and Facial Region Developmental Deficiencies
Jaw Cysts
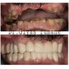
Zirconium Applications
Implant Treatment
Porcelain Applications
Laminate Veneer
Areas of expertise
Dentist