
Dt. Uğur Aksakal Dentist
Areas of interest
Toothache
Tooth Decay
Tooth Loss
Gum Bleeding
Teeth Grinding
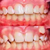
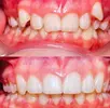
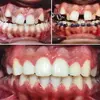
Tooth Crowding
Dental and Gum Diseases
Periimplantitis
Peri-Implant Mucositis
Developmental Deficiencies in Teeth, Jaw, and Facial Region
Jaw Cysts
Zirconium Applications
Implant Treatment
Porcelain Applications
Laminate Veneer
Areas of specialization
Dentist