
Dr. Dt. Esin Püşman Dentist
Areas of interest
Toothache
Dental Cavities
Tooth Deficiency
Gum Bleeding
Teeth Grinding
Teeth Crowding
Tooth and Gum Diseases
Periimplantitis
Peri-Implant Mucositis
Developmental Deficiencies of Teeth, Jaw, and Facial Region
Jaw Cysts
Zirconium Applications
Implant Treatment
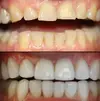
Porcelain Applications
Laminate Veneer
Specialization areas
Dentist