
I completed my undergraduate education at HACETTEPE UNIVERSITY FACULTY OF DENTISTRY.
Areas of interest
Toothache
Tooth Decay
Missing Teeth
Gum Bleeding
Teeth Grinding
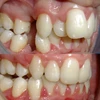
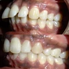
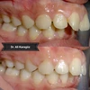
Dental Crowding
Teeth and Gum Diseases
Periimplantitis
Peri-Implant Mucositis
Jaw, Tooth, and Facial Region Developmental Deficiencies
Jaw Cysts
Zirconium applications
Implant treatment
Porcelain applications
Laminate veneer
Areas of specialty
Dentist