
After graduating from the Faculty of Dentistry at Gazi University, he worked at Private Medicalpark Hospital and Bursa Aritmi Hospital. He continues to work at his private clinic. He has received training and continues to educate himself about aesthetic restorations, whitening, prosthetic dental treatments, root canal treatment, cyst and lesion treatment, teeth grinding, implants, impacted tooth extraction, gum treatment, smile design, aesthetic fillings, bonding, botox, lesion treatments, and preventive dentistry in children.
Areas of interest
Toothache
Tooth Decay
Tooth Loss
Gum Bleeding
Teeth Grinding
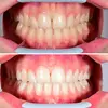
Crooked Teeth
Dental and Gum Diseases
Periimplantitis
Peri-Implant Mucositis
Developmental Deficiencies in the Jaw and Facial Areas
Jaw Cysts
Zirconium Applications
Implant Treatments
Porcelain Applications
Laminate Veneer
Areas of expertise
Dentist