
I was born in Bursa in 1966. I studied at Bursa Anatolian High School and Bursa Girls' High School. I graduated from Hacettepe University Faculty of Dentistry in 1989. Since 1990, I have been working in my own clinic. I have a son and a daughter.
Areas of Interest
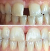
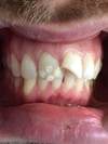
Toothache
Tooth Decay
Tooth Loss
Gum Bleeding
Teeth Grinding
Crooked Teeth
Tooth and Gum Diseases
Periimplantitis
Peri-Implant Mucositis
Jaw, Tooth and Facial Developmental Deficiencies
Jaw Cysts
Zirconium Applications
Implant Treatment
Porcelain Applications
Laminate Veneer
Fields of Expertise
Dentist