Adwhit Logo
Download the app
To receive all the latest offers
/
Professions and Services
/
The best dentists in Turkey
/
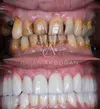
Malocclusion of the teeth and its pathological complications
Dr. Dt. Cihan Akdoğan

Malocclusion of the teeth and its pathological complications

He was born in Tokat in 1990. He completed his primary, secondary, and high school education in Tokat. In 2016, he graduated from Ordu University Faculty of Dentistry. He has worked at Istanbul Private Dishane Oral and Dental Health Polyclinic, Suluova State Hospital, Ordu Oral and Dental Health Center, and Karabük Oral and Dental Health Training and Research Hospital. In 2021, he started his doctoral studies at Atatürk University Faculty of Dentistry, Department of Prosthetic Dental Treatment. In 2023, he began working at the Private DentOniks Oral and Dental Health Polyclinic, which he founded.

Areas of Interest

  • Toothache

  • Tooth Decay

  • Tooth Loss

  • Gum Bleeding

  • Teeth Grinding

  • Crooked Teeth

  • Dental and Gum Diseases

  • Periimplantitis

  • Peri-Implant Mucositis

  • Jaw and Facial Region Developmental Deficiencies

  • Jaw Cysts

  • Zirconium Applications

  • Implant Treatment

  • Porcelain Applications

  • Laminate Veneer

Areas of Expertise

  • Dentist

Rating: 0 / 5
0 Evaluation Process
Pictures
Full Name
Dr. Dt. Cihan Akdoğan

age
36 Years

Experience
5 - 10 Years

Address
Bursa / Nilüfer / İhsaniye mah.
Home
Account
Add Classified