Adwhit Logo
Download the app
To receive all the latest offers
/
Professions and Services
/
The best dentists in Turkey
/
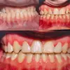
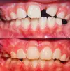
Laminate veneers (veneered sheets)
Dietitian Sevil Eryaşar Işıklar

Laminate veneers (veneered sheets)

Dt. Sevil Eryaşar Işıklar Dentist

Areas of Interest

  • Toothache

  • Tooth Decay

  • Tooth Loss

  • Gum Bleeding

  • Teeth Grinding

  • Tooth Crowding

  • Dental and Gum Diseases

  • Periimplantitis

  • Peri-Implant Mucositis

  • Developmental Deficiencies of the Teeth, Jaw, and Facial Region

  • Jaw Cysts

  • Zirconium Applications

  • Implant Treatment

  • Porcelain Applications

  • Laminate Veneer

Specialties

  • Dentist

Rating: 0 / 5
0 Evaluation Process
Pictures
Full Name
Dietitian Sevil Eryaşar Işıklar

age
42 Years

Experience
5 - 10 Years

Address
Ankara / Çankaya / Kizilirmak mah.
Home
Account
Add Classified