
Dr. Deniz Dicle Kaya Türk graduated from Atatürk University Faculty of Dentistry in 2014 and worked at Ümraniye Training and Research Hospital until 2018. In 2019, she established her own clinic, Dentaperla World, in Karşıyaka and continued her profession there. In 2022, she opened Dentaperla Diamond, where she currently continues her profession.
During this period, she attended many trainings and received certificates. She has developed her skills in aesthetic dentistry, implant surgery, smile design, bruxism, and jaw botox.
Areas of interest
Toothache
Dental Caries
Tooth Loss
Gum Bleeding
Teeth Grinding
Tooth Crowding
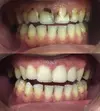
Tooth and Gum Diseases
Periimplantitis
Peri-Implant Mucositis
Developmental Deficiencies of Teeth, Jaw, and Facial Region
Jaw Cysts
Zirconium applications
Implant treatment
Porcelain applications
Laminate veneer
Specialty areas
Dentist