
Dt. Hakan Ergüne Dentist
Areas of interest
Toothache
Tooth Decay
Tooth Loss
Gum Bleeding
Teeth Grinding
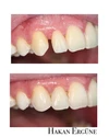
Tooth Crowding
Dental and Gum Diseases
Periimplantitis
Peri-Implant Mucositis
Jaw and Face Region Developmental Deficiencies
Jaw Cysts
Zirconium Applications
Implant Treatment
Porcelain Applications
Laminate Veneer
Specializations
Dentist