
Specialist Dentist Kadir KOLCUOĞLU started his education at Ondokuz Mayıs University Faculty of Dentistry in 2005 and graduated in 2011.
He completed his specialist training at Ondokuz Mayıs University Faculty of Dentistry, Department of Orthodontics, which he started in 2014, with his thesis titled ‘EXAMINATION OF ROOT RESORPTION CAUSED BY ORTHODONTIC FORCE IN PREMOLAR TEETH THAT UNDERWENT ROOT CANAL TREATMENT USING MICRO CT’ in 2018.
After his specialty education, he worked as an Orthodontics Specialist at Göztepe Oral and Dental Health Center.
As of 2020, he has been serving at his own private clinic in Üsküdar, as well as at Newdent Caddebostan and Ümraniye Anadolu Dental Clinic.
He is a member of the Turkish Dental Association, Turkish Orthodontic Society, Turkish Aligner Association, and Istanbul Chamber of Dentists.
Areas of interest
Insufficiencies in Development of Teeth, Jaw, and Facial Area
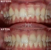
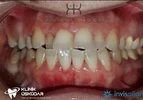
Dental Crowding
Missing Teeth
Crooked Teeth
Lip - Palate Clefts
Teeth Grinding
Dental Caries
Gum Bleeding
Bad Breath
Toothache
Dental and Gum Diseases
Peri-implantitis
Pericoronitis
Peri-Implant Mucositis
Sleep Apnea
Jaw Disorder
Bonding
Diastema (Gaps Between Teeth)
Periodontology
Orthodontic Malocclusions
Class 3 Malocclusions
Class 2 Malocclusions
Class 1 Malocclusions
Tartar (Dental Calculus)
Publications
EXAMINATION OF ROOT RESORPTION CAUSED BY ORTHODONTIC FORCE IN PREMOLAR TEETH THAT UNDERWENT ROOT CANAL TREATMENT USING MICRO CT
Schools / education
Ondokuz Mayıs University Faculty of Dentistry (Samsun, 2011)
Ondokuz Mayıs University Faculty of Dentistry, Department of Orthodontics (Samsun, 2018)
Fields of expertise
Orthodontics
Dentistry