
Dentist
Zeynel Erdoğan, who has been actively working in the field of dentistry for over 25 years, is a graduate of Ankara University Faculty of Dentistry. He is known for his extensive experience, patient satisfaction-oriented approach, and constant self-improvement. Bringing his broad expertise gained from practicing privately in Didim Aydın and founding Cebecident, he now provides his patients with the most up-to-date treatment methods at his centrally located private clinic in Ankara.
Areas of interest
Toothache
Tooth Decay
Tooth Loss
Gum Bleeding
Teeth Grinding
Tooth Crowding
Dental and gum diseases
Periimplantitis
Peri-implant mucositis
Tooth, jaw, and facial developmental deficiencies
Jaw cysts
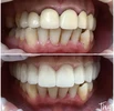
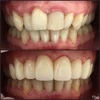
Zirconia applications
Implant treatment
Porcelain applications
Laminate veneer
Expertise areas
Dentist