
Dr. Dt. Gamze Zeynep Adem Siyli graduated from Istanbul University Faculty of Dentistry in 2010, earning the title of dentist. Between 2010 and 2016, she completed her specialization and doctoral education in the Department of Periodontology at the same faculty, with her thesis titled 'Comparison of MMP-8, TIMP-1 and LTB-4 Levels in the Peri-Implant Sulcus Fluid of Implants with Different Platform Sizes,' and received the titles of Doctor of Science (PhD) and Specialist in Periodontology (DDS). From 2016 to 2020, she worked as a specialist physician at Istanbul Okmeydanı Oral and Dental Health Hospital. Since 2021, she has been serving her patients at her own clinic, Nişantaşı Dental Clinic.
She has participated in more than 50 congresses and scientific events both nationally and internationally.
Areas of interest
Teeth Grinding
Gum Bleeding
Dental Caries
Dental and Gum Diseases
Toothache
Missing Teeth
Bad Breath
Crooked Teeth
Periimplantitis
Jaw, Tooth and Facial Developmental Deficiencies
Jaw Cysts
Peri-Implant Mucositis
Lichen Planus
Bonding
Pediatric Dental Treatment
Endodontics
Diastema (Gapped Teeth)
Jaw Disorder
Periodontology
Dental Calculus (Tartar)
Broken Tooth
Pediatric Dentistry
Misaligned Teeth
Sedation
Temporomandibular Joint (TMJ) Disorders
Sleep Apnea
Lesioned (Infected) Tooth
Tooth Fractures
Teeth Clenching
Aphthous Ulcer
Oral Ulcers
Leukoplakia
Gum Recession
Gingival Inflammation
Gingivitis
Gummy Smile
Periodontitis
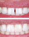
Teeth Whitening
Gum Enlargement
Periodontal Surgery
Pericoronitis
Laser Surgery
Experiences
Nişantaşı Dental Clinic
Istanbul University Faculty of Dentistry Department of Periodontology Specialization
Istanbul Okmeydanı Oral and Dental Health Hospital
Fields of expertise
Periodontology
Dentist