
Born in Istanbul in 1993. Graduated from Hacettepe University Faculty of Dentistry in 2016. Completed his specialization in 2020 at Eskişehir Osmangazi University Faculty of Dentistry, Department of Periodontology, defending his thesis titled "The Effect of Systemic Erythropoietin Administration on Alveolar Bone Loss in Experimentally Induced Periodontitis Model in Rats." Attended Advanced Implantology Academy Bangkok Implantology Seminar (November 12-17, 2019), TDB 24th International Dentistry Congress (September 27-30, 2019), and the 1st International Congress on Dental and Oral Infections (September 7-9, 2018). Won the first prize for oral presentation at the 1st International Congress on Dental and Oral Infections. Has provided services to patients in various dental clinics and hospitals in Bursa. Currently serving patients in his own clinic located in the 23 Nisan neighborhood of Nilüfer district.
Foreign Languages: Arabic, English
Areas of Work and Interest:
* Implantology and advanced surgical techniques in implantology.
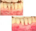
* Regenerative and mucogingival periodontal surgery (treatment of gum recessions, treatment of gummy smile)
* Guided tissue regeneration
* Periodontal plastic surgery
* Treatment of gingival enlargements
* Treatments aimed at oral hygiene
* Treatment of advanced periodontal diseases
* Laser gum treatments
* Apical resection surgery
* Peri-implantitis treatments
* Treatment of oral pathologies
* Botox applications