
Dt. Esra Ulucaköy Dentist
Areas of interest
Toothache
Dental Caries
Tooth Loss
Gum Bleeding
Bruxism
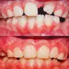
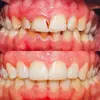
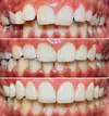
Dental Crowding
Dental and Gum Diseases
Periimplantitis
Peri-Implant Mucositis
Insufficient Development of Dental, Jaw, and Facial Region
Jaw Cysts
Zirconium Applications
Implant Treatment
Porcelain Applications
Laminate Veneer
Fields of expertise
Dentist