
Dr. Eray Aktay Dentist
Areas of interest
Toothache
Tooth Decay
Tooth Loss
Gum Bleeding
Teeth Grinding
Crowded Teeth
Dental and Gum Diseases
Periimplantitis
Peri-Implant Mucositis
Deficiencies in Tooth, Jaw, and Facial Development
Jaw Cysts
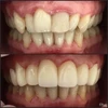
Zirconium Applications
Implant Treatment
Porcelain Applications
Laminate Veneer
Specialties
Dentist