
Dt. Enes Özbay Dentist
Areas of Interest
Toothache
Tooth Decay
Tooth Loss
Gum Bleeding
Teeth Grinding
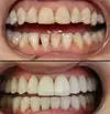
Crooked Teeth
Tooth and Gum Diseases
Periimplantitis
Peri-Implant Mucositis
Deficiencies in the Development of Teeth, Jaw, and Facial Regions
Jaw Cysts
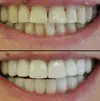
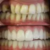
Zirconium Applications
Implant Treatment
Porcelain Applications
Laminate Veneer
Areas of Expertise
Dentist