
Dt. Hilal Çoban Dentist
Areas of interest
Toothache
Tooth Decay
Tooth Deficiency
Gum Bleeding
Teeth Grinding
Dental Crowding
Tooth and Gum Diseases
Periimplantitis
Peri-Implant Mucositis
Insufficient Development of Teeth, Jaw, and Facial Region
Jaw Cysts
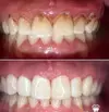
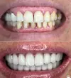
Zirconium Applications
Implant Treatment
Porcelain Applications
Laminate Veneer
Areas of expertise
Dentist