
Dr. Kaan Evren Kır Dentist
Areas of interest
Toothache
Dental Caries
Tooth Loss
Gum Bleeding
Teeth Grinding
Tooth Crowding
Dental and Gum Diseases
Periimplantitis
Peri-Implant Mucositis
Insufficient Development of Tooth, Jaw, and Facial Regions
Jaw Cysts
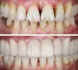
Zirconium Applications
Implant Treatment
Porcelain Applications
Laminate Veneer
Fields of expertise
Dentist