
Dr. Dt. Canan Baykara Dentist
Areas of Interest
Toothache
Dental Caries
Tooth Loss
Gum Bleeding
Teeth Grinding
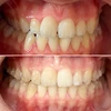
Dental Crowding
Dental and Gum Diseases
Periimplantitis
Peri-Implant Mucositis
Deficiencies in the Development of the Jaw and Facial Region
Jaw Cysts
Zirconium Applications
Implant Treatment
Porcelain Applications
Laminate Veneer
Specialty Areas
Dentist