
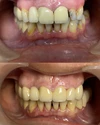
Ezgi Uçan graduated from Gazi University. She provides services as a Dentist at Private Vita Oral and Dental Health Clinic in Bursa Osmangazi district. She works in the fields of Zirconium, Laminate, and Smile Design, and other procedures can be found under the diseases and services section on her profile.
Areas of interest
Toothache
Tooth Decay
Tooth Loss
Gum Bleeding
Teeth Grinding
Dental Crowding
Dental and Gum Diseases
Periimplantitis
Peri-Implant Mucositis
Insufficient Development of Jaw, Teeth, and Facial Area
Jaw Cysts
Zirconium applications
Implant treatment
Porcelain applications
Laminate veneer
Specialty fields
Dentist