
I graduated from Sivas Cumhuriyet University in 2013. After graduation, I received training in Smile Design and Root Canal Treatment. With Smile Design, I plan Porcelain Laminates, Zirconium Porcelains, Transparent Plate Orthodontics, Aesthetic Fillings, and Gum Aesthetics on a computer and carry out treatments in line with these plans. Root Canal Treatment forms the basis of all treatments we perform; besides routine root canal treatments, I also treat teeth requiring advanced root canal treatment (MTA, apical resection, teeth with lesions). In my spare time, I am interested in photography, visual arts, and graphic design, which allow me to view my profession with an artistic eye. I am married and have a daughter.
Areas of Interest
Toothache
Tooth Decay
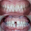
Missing Teeth
Gum Bleeding
Teeth Grinding
Crooked Teeth
Oral and Gum Diseases
Peri-implantitis
Peri-implant Mucositis
Jaw, Teeth, and Facial Region Developmental Deficiencies
Jaw Cysts
Zirconium Applications
Implant Treatment
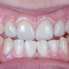
Porcelain Applications
Laminate Veneer
Fields of Expertise
Dentist