
Dt. Uygar Ürer Dentist
Areas of interest
Toothache
Dental Caries
Tooth Loss
Gum Bleeding
Teeth Grinding
Dental Crowding
Dental and Gum Diseases
Periimplantitis
Peri-Implant Mucositis
Insufficient Development of Tooth, Jaw and Facial Region
Jaw Cysts
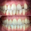
Zirconium Applications
Implant Treatment
Porcelain Applications
Laminate Veneer
Areas of Expertise
Dentist