
Assoc. Prof. Dr. Rıdvan Okşayan graduated from Ondokuz Mayıs University, Faculty of Dentistry, and completed his doctorate in the Department of Orthodontics at Gaziantep University, Institute of Health Sciences. After obtaining his associate professorship at Eskişehir Osmangazi University Faculty of Dentistry, he currently provides services to his patients at İmajdent Oral and Dental Health Clinic.
Areas of Interest
Toothache
Tooth Decay
Missing Teeth
Gum Bleeding
Teeth Grinding
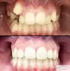
Dental Crowding
Tooth and gum diseases
Periimplantitis
Peri-implant mucositis
Jaw and facial region developmental deficiencies
Jaw cysts
Zirconium applications
Implant treatment
Porcelain applications
Laminate veneer
Areas of expertise
Dentist