
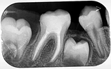
Specialist Dentist İbrahim Şener was born in 1990 in Kırcaali, Bulgaria. He graduated from Pilot Sanayi Primary School in 2005 and from Bursa Nilüfer Milli Piyango Anatolian High School in 2009. Between 2009 and 2014, he completed his education at Süleyman Demirel University Faculty of Dentistry and earned the title of "Dentist." He completed his military service as a "Gendarmerie Dental Medical Lieutenant" at Bilecik 2nd Gendarmerie Training Brigade Command between 2014 and 2015. As a result of the Dentistry Specialization Exam, he started his specialization training at Erciyes University Faculty of Dentistry, Department of Endodontics, in 2015 and completed his thesis titled "Determination of the Cracks in Root Dentin and Fracture Resistance of Teeth After Preparing Post Space at Different Lengths: A Micro-Computed Tomography Study" in 2019, earning him the title of "Endodontist (Root Canal Specialist)." Since 2019, he has continued to work in private dental clinics in Bursa. He has especially improved himself in root canal retreatment and removal of broken instruments from the canal, and he provides courses to dentists and endodontists in this field.
Areas of Interest
Toothache
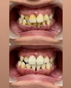
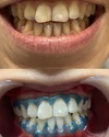
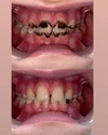
Tooth Decay
Tooth Loss
Gum Bleeding
Teeth Grinding
Tooth Crowding
Tooth and Gum Diseases
Peri-implantitis
Peri-Implant Mucositis
Dental, Jaw and Facial Developmental Deficiencies
Jaw Cysts
Zirconium Applications
Implant Treatment
Porcelain Applications
Laminate Veneer
Specialty Areas
Dentistry