
After graduating from Ankara University Faculty of Dentistry, I received my specialization from Kocaeli University Department of Oral, Dental and Maxillofacial Surgery. I completed my thesis with treatments and research applied to patients with teeth clenching habit (Bruxism). I perform treatments related to implant surgery, cyst and tumor surgeries, extraction of impacted teeth, and temporomandibular joint (TMJ) disorders. I have articles published in international journals in these fields.
Areas of Interest
Toothache
Tooth Decay
Tooth Deficiency
Gum Bleeding
Teeth Grinding
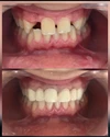
Tooth Crowding
Dental and Gum Diseases
Peri-implantitis
Peri-implant Mucositis
Jaw, Tooth, and Facial Area Developmental Deficiencies
Jaw Cysts
Zirconium Applications
Implant Treatment
Porcelain Applications
Laminate Veneer
Specialties
Dentist