
Beste Becerikli serves her patients in her own private practice.
Areas of interest
Toothache
Tooth Decay
Tooth Loss
Gum Bleeding
Teeth Grinding
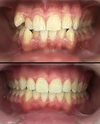
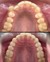
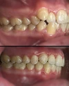
Dental Crowding
Tooth and Gum Diseases
Periimplantitis
Peri-Implant Mucositis
Developmental Deficiencies of the Tooth, Jaw, and Facial Region
Jaw Cysts
Zirconium Applications
Implant Treatment
Porcelain Applications
Laminate Veneer
Specialties
Dentist