
Çiğdem Demircan Çörtük; Marmara Üniversitesi Diş Hekimliği Fakültesi' nden mezun olmuştur. Yeditepe Üniversitesi Ortodonti Anabilim Dalı' nda ortodonti eğitimini almıştır. İstanbul'daki muayenehanesinde hastalarını kabul etmektedir.
İlgi alanları
Diş Gıcırdatma
Sınıf 3 Malokluzyonlar
Diş Çürükleri
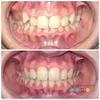
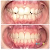
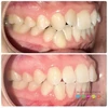
Diş Çapraşıklığı
Bonding
Çocuk Diş Tedavisi
Diş Taşı
Pedodonti
Çarpık Diş
Temporomandibular Eklem (TME) Rahatsızlıkları
Uyku Apnesi
Diş Sıkma
Okullar / eğitimler
Marmara Üniversitesi Diş Hekimliği Fakültesi (2006)
Yeditepe Üniversitesi Ortodonti Anabilim Dalı (2011)
Uzmanlık alanları
Ortodonti
Diş hekimi