
2008 yılında Dicle Üniversitesi diş hekimliği fakültesinden mezun olup, aynı sene Çukurova Üniversitesi Diş Hekimliği fakültesi Protetik Diş Tedavisi AD. da doktora eğitimine başladım. 2014 yılında tamamladığım uzmanlık eğitimim sonrasında, 4 yıl Adana Fatma Kemal Timuçin ağız diş sağlığı hastanesinde Protez uzmanı olarak görev yaptım. 2018 yılının Kasım ayı itibariyle kendi kliniğimde çalışmalarıma devam etmekteyim.
İlgi alanlarım;
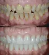
Gülüş tasarımı
Lamina ve emax restorasyonlar
İmplantoloji
İlgi alanları
Diş Ağrısı
Diş Çürükleri
Diş Eksikliği
Diş Eti Kanaması
Diş Gıcırdatma
Diş Çapraşıklığı
Diş ve Diş eti hastalıkları
Periimplantitis
Peri-İmplant Mukozitis
Diş Çene ve Yüz Bölgesi Gelişim Yetersizlikleri
Çene Kistleri
Zirkonyum uygulamalar
Implant tedavisi
Porselen uygulamaları
Laminate veneer
Uzmanlık alanları
Diş hekim