Adwhit Logo
Uygulamayı indirin
Tüm yeniliklerden haberdar olun
/
Ustalar ve Hizmetler
/
Türkiye'deki en iyi diş hekimleri
/
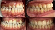
Sınıf 1 diş kapanış bozukluğu
Prof. Dr. Feyza Eraydın

Sınıf 1 diş kapanış bozukluğu

İlkokul eğitimimi 60.yıl Anadolu İlköğretim okulunda, ortaokul ve lise eğitimimi İstek Acıbadem Lisesinde tamamladım. 1998-2003 yılları arasında Marmara Üniversitesi Diş Hekimliği Fakültesinden 5 yıllık diş hekimliği lisans eğitimi alıp mezun oldum ve sonrasında Yeditepe Üniversitesi Diş hekimliği Fakültesi Ortodonti Anabilim Dalında 5 yıllık doktora-uzmanlık programını bitirdim. 2012 yılında Yardımcı Doçent Dr., 2017 yılında Doçent ünvanlarını aldım. 2010-2020 yılları arasında Yeditepe Üniversitesi Diş Hekimliği Fakültesi Ortodonti Anabilim Dalında görev yaptım. İki çocuk annesiyim. Şu anda özel muayenehanemde diş hekimliğinin bütün branşlarında hizmet veriyorum. Akademik çalışmalarıma İstanbul Kent Üniversitesi Diş Hekimliği Fakültesi Ortodonti Anabilim Dalı'nda devam etmekteyim.

İlgi alanları

  • Diş Çapraşıklığı

  • Gömülü Dişler

  • Ayrık Dişler

  • Diş Ağrısı

  • Diş Gıcırdatma

  • Diş Çürükleri

  • Diş Eksikliği

  • Diş Eti Kanaması

  • Diş ve Diş eti hastalıkları

  • Ağız Kokusu

  • Bonding

  • Çene Bozukluğu

  • Periodontoloji

  • Diş Taşı

  • Çarpık Diş

  • Sedasyon

  • Temporomandibular Eklem (TME) Rahatsızlıkları

  • Uyku Apnesi

  • Lezyonlu (Enfekte) Diş

  • Diş Kırıkları

  • Diş Sıkma

  • Ağız Yaraları

  • Sınıf 3 Malokluzyonlar

  • Diş Çapraşıklığı

  • Çene Problemleri

  • Ortodontik Malokluzyonlar

  • Sınıf 1 Malokluzyonlar

  • Sınıf 2 Malokluzyonlar

  • Kırık Diş

  • Dudak - Damak Yarıkları

Uzmanlık alanları

  • Ortodonti

  • Diş hekimi

Değerlendirme: 0 / 5
0 değerlendirme işlemi
Fotoğraflar
Video
Ad Soyad
Prof. Dr. Feyza Eraydın

Yaş
47

Deneyim
5 - 10 yıl

Adres
İstanbul / Kadıköy / Caddebostan mah.
Ana Sayfa
Hesabım
İlan Ekle