Adwhit Logo
Uygulamayı indirin
Tüm yeniliklerden haberdar olun
Dt. Fazıl Çakmaklı

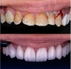
Sabit estetik geçici dişler

Merhaba ben Fazıl Çakmaklı; Diş Hekimliği alanında hizmet vermekteyim.

İlgi alanları

  • Diş Gıcırdatma

  • Diş Çürükleri

  • Diş Ağrısı

  • Diş Eksikliği

  • Diş Eti Kanaması

  • Diş ve Diş eti hastalıkları

  • Ağız Kokusu

  • Diş Çapraşıklığı

  • Periimplantitis

  • Diş Çene ve Yüz Bölgesi Gelişim Yetersizlikleri

  • Ayrık Dişler

  • Kırık Diş

  • Diş Taşı

  • Gömülü Dişler

Deneyimler

  • Akdiş Kliniği

Okullar / eğitimler

  • İstanbul Yeni Yüzyıl Üniversitesi Diş Hekimliği Fakültesi

Uzmanlık alanları

  • Diş hekimi

Değerlendirme: 0 / 5
0 değerlendirme işlemi
Fotoğraflar
Ad Soyad
Dt. Fazıl Çakmaklı

Yaş
39

Deneyim
5 - 10 yıl

Adres
İstanbul / Başakşehir / Bahçeşehir 2. kisim mah.
Ana Sayfa
Hesabım
İlan Ekle